Un equipo de científicos en China ha creado un nuevo “pegamento óseo” médico llamado “Bone-02”, inspirado en las ostras. Posee la capacidad de reparar huesos rotos en pocos minutos, sin necesidad de placas metálicas, tornillo ni de cirugías mayores.
Anunciado en una conferencia de prensa el pasado martes, el bioadhesivo ofrece una alternativa menos invasiva a los clavos y placas metálicas que se utilizan habitualmente para tratar las fracturas. Puede ser especialmente eficaz para las fracturas «conminutas», en las que los huesos se astillan en tres o más fragmentos.
Las fracturas óseas son un problema de salud mundial cada vez mayor: 178 millones de personas sufrieron fracturas en 2019, lo que supone un aumento del 30 % con respecto a 1990, según The Lancet.
Bautizado como “Bone 02”, en referencia al “502”, un superpegamento de uso doméstico muy extendido en China que se desarrolló inicialmente en un laboratorio con ese número, el bioadhesivo forma uniones lo suficientemente fuertes como para soportar más de 200 kilogramos. Además, se disuelve de forma segura en un plazo de seis meses.
Repara huesos rotos en 3 minutos
Este pegamento está diseñado para reparar huesos rotos rápidamente, sin necesidad de utilizar placas metálicas, tornillos ni realizar cirugías mayores. Se puede inyectar directamente en la fractura y une los fragmentos óseos en 2-3 minutos, incluso en áreas con mucho flujo sanguíneo donde otros adhesivos fallan.
Inspirados en la capacidad de las ostras
Los investigadores se basaron en la capacidad de las ostras para adherirse a superficies en ambientes difíciles, donde ellas secretan un adhesivo especial conocido como biocemento.
El Dr. Lin Xianfeng, cirujano ortopédico adjunto y investigador principal, afirmó que se inspiró en su infancia en la costa este de China, donde vio ostras adheridas firmemente a la base de puentes de hormigón a pesar del embate de las olas.

Dr. Lin Xianfeng, cirujano ortopédico adjunto y investigador principal. Crédito de imagen: researchgate
Las secreciones de las ostras han cautivado durante mucho tiempo a científicos de todo el mundo. En 2010, un equipo de investigación estadounidense de la Universidad de Purdue caracterizó por primera vez el singular “pegamento” que contiene proteínas y carbonato cálcico.
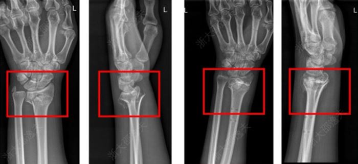
Fue probado en una persona con éxito
En la conferencia de prensa, el equipo destacó el caso de un joven trabajador con una fractura conminuta de muñeca.
El tratamiento estándar habría requerido una gran incisión para implantar placas y tornillos metálicos, con riesgos de daño nervioso, adhesión de tejidos y una segunda cirugía un año después para retirar el material.
Con “Bone 02”, los cirujanos pudieron unir los fragmentos óseos en solo tres minutos, utilizando una incisión de 2-3 centímetros para inyectar el pegamento. Un seguimiento de tres meses mostró la recuperación total de la función de la muñeca, sin complicaciones.

Utilizando “Bone 02” en una persona que sufrió una fractura en la muñeca, los cirujanos pudieron unir los fragmentos óseos en solo tres minutos, utilizando una incisión de 2-3 centímetros para inyectar el pegamento. Un seguimiento de tres meses mostró la recuperación total de la función de la muñeca, sin complicaciones. Crédito de imagen: Dr. Lin Xianfeng
Ventajas con otros adhesivos médicos
A diferencia de los pegamentos comunes, “Bone-02” funciona en condiciones húmedas y salinas, formando una unión fuerte que resiste presión y erosión. Las pruebas revelaron que su fuerza de unión es superior a 181 kg y presenta una resistencia al cizallamiento de 0.5 megapascales, así como una resistencia a la compresión de 10 megapascales.
Imitando este mecanismo, el equipo chino diseñó “Bone-02” para que se fijara firmemente en el entorno húmedo y rico en sangre del cuerpo.
¡Es biodegradable!
Además, este nuevo pegamento es biodegradable, permitiendo que el cuerpo lo absorba a medida que el hueso sana, lo que evita la necesidad de una segunda cirugía para retirarlo. Las primeras pruebas indican que es seguro y efectivo, y que reduce el riesgo de infección en comparación con los implantes metálicos.
Haría posible cirugías menos invasivas
Este descubrimiento podría hacer que las cirugías sean más rápidas y menos invasivas, usando incisiones más pequeñas y eliminando la necesidad de implantes permanentes en algunos casos. También mejora la curación de fracturas, disminuyendo las complicaciones por mala alineación ósea, y podría reducir costos y riesgos para los pacientes.
Ver esta publicación en Instagram
Reparar huesos de forma natural
Si los ensayos clínicos continúan demostrando estos resultados positivos, podría transformar la cirugía ortopédica al permitir que los huesos se “peguen” y sanen de forma natural en lugar de reconstruirse con tornillos y placas.
[FT: sixthtone]
¿Te gustó este contenido? Te invito a compartirlo con tus amigos. Síguenos en nuestra Página de Facebook, para recibir a diario nuestras noticias. También puedes unirte a nuestro Grupo Oficial y a nuestra comunidad en Telegram. Y si crees que hacemos un buen trabajo, considera apoyarnos.
Por: CodigoOculto.com










0 comentarios